Hipofiz Ameliyatı Nasıl Yapılır?
Hipofiz ameliyatı, hipofiz bezindeki hastalıkların cerrahi müdahale ile tedavi edilmesini amaçlayan bir işlemdir. Bu makalede, ameliyatın süreçleri, öncesi ve sonrası bakım, nedenleri gibi konular ele alınarak, hastaların bilgilendirilmesi hedeflenmektedir.
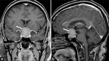
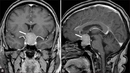
Hipofiz Ameliyatı Nasıldır?Hipofiz ameliyatı, hipofiz bezinin hastalıklarının tedavisi amacıyla yapılan cerrahi bir işlemdir. Hipofiz bezi, beynin altında yer alan ve hormon salınımını düzenleyen küçük bir bezdir. Bu bezin işlev bozuklukları, çeşitli sağlık sorunlarına yol açabilir. Bu makalede, hipofiz ameliyatının nasıl gerçekleştirildiği, süreçleri ve dikkat edilmesi gereken noktaları ele alacağız. Hipofiz Bezi ve ÖnemiHipofiz bezi, vücut hormonlarının düzenlenmesinde kritik bir rol oynar. Aşağıdaki işlevleri vardır:
Hipofiz bezinde tümörler veya diğer patolojik durumlar, bu hormonların dengesini bozarak çeşitli sağlık sorunlarına neden olabilir. Hipofiz Ameliyatının NedenleriHipofiz ameliyatı genellikle aşağıdaki durumlar için yapılır:
Bu durumlar, hastaların yaşam kalitesini etkileyebilir ve cerrahi müdahale gerektirebilir. Ameliyat Öncesi DeğerlendirmeHipofiz ameliyatı öncesinde, doktorlar hastanın genel sağlık durumunu değerlendirmek için aşağıdaki adımları izler:
Bu değerlendirmeler, cerrahinin gerekliliğini ve ameliyatın risklerini belirlemek için önemlidir. Ameliyat SüreciHipofiz ameliyatı genellikle genel anestezi altında yapılır. Ameliyat süreci şu aşamalardan oluşur:
Ameliyat Sonrası BakımHipofiz ameliyatı sonrasında dikkat edilmesi gereken bazı noktalar vardır:
SonuçHipofiz ameliyatı, hipofiz bezindeki hastalıkların tedavisinde önemli bir yöntemdir. Cerrahi işlem, uzman bir ekip tarafından titizlikle gerçekleştirilmelidir. Ameliyat öncesi ve sonrası süreçler, hastaların tedavi sürecinin başarısı için kritik öneme sahiptir. Hastalar, sağlık durumlarını ve tedavi seçeneklerini doktorları ile detaylı bir şekilde görüşmelidir. Ek BilgilerHipofiz ameliyatı, hastaların yaşam kalitesini artırmak için önemli bir tedavi seçeneğidir. Ancak her cerrahi işlemde olduğu gibi, riskleri ve olası komplikasyonları da göz önünde bulundurmak gerekir. |

















Ameliyat kararı vermek oldukça zorlayıcı bir süreç olabilir. Hipofiz ameliyatının beyin ameliyatı kadar zorlayıcı olduğu düşüncesi, birçok hastayı tedirgin edebiliyor. Ancak, hipofiz bezinin beynin içinde yer almadığı gerçeği, bu tür bir cerrahinin daha az riskli olduğunu gösteriyor. Ameliyat sonrası burun kanaması ve tıkanıklık hissi yaşamak elbette rahatsız edici olabilir, ancak bu durum genellikle geçici bir süreçtir. Endoskopik yöntemle yapılan ameliyatlarda, bazı hastaların sadece 2-3 gün içinde normal hayatlarına dönebildiği bilgisi de oldukça umut verici. Cerrahinin ardından yaşanan bu tür rahatsızlıklar, tedavi sürecinin bir parçası olarak değerlendirilebilir. Sonuç olarak, doktorunuzla tüm endişelerinizi paylaşarak karar vermek en sağlıklı yol olacaktır.
Ameliyat Kararı
Sezen, ameliyat kararı vermek gerçekten de karmaşık bir süreçtir. Hipofiz ameliyatının zorlukları konusunda duyulan endişeler, çoğu hastanın aklında çeşitli korkular yaratabilir. Ancak, hipofiz bezinin yer aldığı bölgenin anatomik yapısı nedeniyle, bu tür bir cerrahinin genellikle daha az risk taşıdığı gerçeği önemli bir motivasyon kaynağıdır.
Ameliyat Sonrası Süreç
Ameliyat sonrası yaşanan burun kanaması ve tıkanıklık hissi, rahatsız edici olsa da çoğu hastada geçici bir durumdur. Endoskopik yöntemle gerçekleştirilen operasyonlarda bazı hastaların kısa sürede normal yaşamlarına dönebilmesi, bu süreçle ilgili olumlu bir haberdir. Bu tür geçici rahatsızlıkları, tedavi sürecinin doğal bir parçası olarak görmek, hastaların psikolojik olarak rahatlamasına yardımcı olabilir.
Doktor ile İletişim
Sonuç olarak, endişelerinizin üzerine gitmek ve doktorunuzla bu konuları açıkça paylaşmak, en doğru kararı vermek açısından büyük önem taşımaktadır. Sağlığınız için en uygun yaklaşımı belirlemek adına doktorunuzun önerilerine kulak vermeniz yararınıza olacaktır.
Ameliyat kararı vermekte zorlanıyorum çünkü hipofiz ameliyatı gerçekten beyin ameliyatı kadar zor değil mi? Ameliyat sonrasında burun kanaması ve tıkanıklık hissi yaşamak çok rahatsız edici olmaz mı? Endoskopik yöntemle ameliyat olanlar gerçekten sadece 2-3 gün içinde normal hayatlarına dönebiliyorlar mı?
Merhaba Sârif,
Ameliyat kararı vermek gerçekten zor bir süreç olabilir, özellikle de hipofiz ameliyatı gibi önemli bir konuda. Hipofiz ameliyatları, beyin ameliyatları kadar karmaşık olmasa da, yine de ciddi müdahalelerdir. Endoskopik yöntemle yapılan ameliyatlarda genellikle iyileşme süreci daha hızlı olur ve hastalar 2-3 gün içinde taburcu edilebilir, ancak bu durum kişiden kişiye değişebilir. Burun kanaması ve tıkanıklık hissi gibi yan etkiler geçici olup, doktorunuz bu konuda gerekli tedbirleri alacaktır. Ameliyat öncesi ve sonrası doktorunuzla detaylı bir şekilde konuşarak, endişelerinizi ve beklentilerinizi paylaşmanız faydalı olabilir. Sağlıklı günler dilerim.